Catalyst Frame Microscope: An Unexpected Journey
Ideation and prototyping
It started as a unique gift! My teacher from my anatomy lab course wrote a letter of recommendation for me, and I wanted to give her something special. She was complaining about how she hated lugging around a microscope while she was out in Africa working on zoology research, and at the same time I was reading about the Foldscope a $1 paper origami microscope. Unfortunately they weren't selling them at the time, but I figured I could 3D print her a custom smartphone mounting solution.
So I read through the research paper and found the ball lenses that I needed. Including some half-ball lenses (essentially half a sphere) that according to this one website could produce distortion free magnification. Then through cardboard, tape, the lens, a flashlight, and octopi-level dexterity, I finally got this image.
Prepared human blood slide
It looked pretty ugly, but it was good enough to make me decide to 3D print out a simple press-fit mount for the lens and try again. I also ordered an high brightness LED with the smallest viewing angle I could find to help make sure the light is as collimated as possible. Couple of weeks later and I got this:
This is what it looked like. A space for the adhesive to stick to the phone. A hole for the lens and another hole for the LED bulb. There's a little slot in the left to help hold the slide.
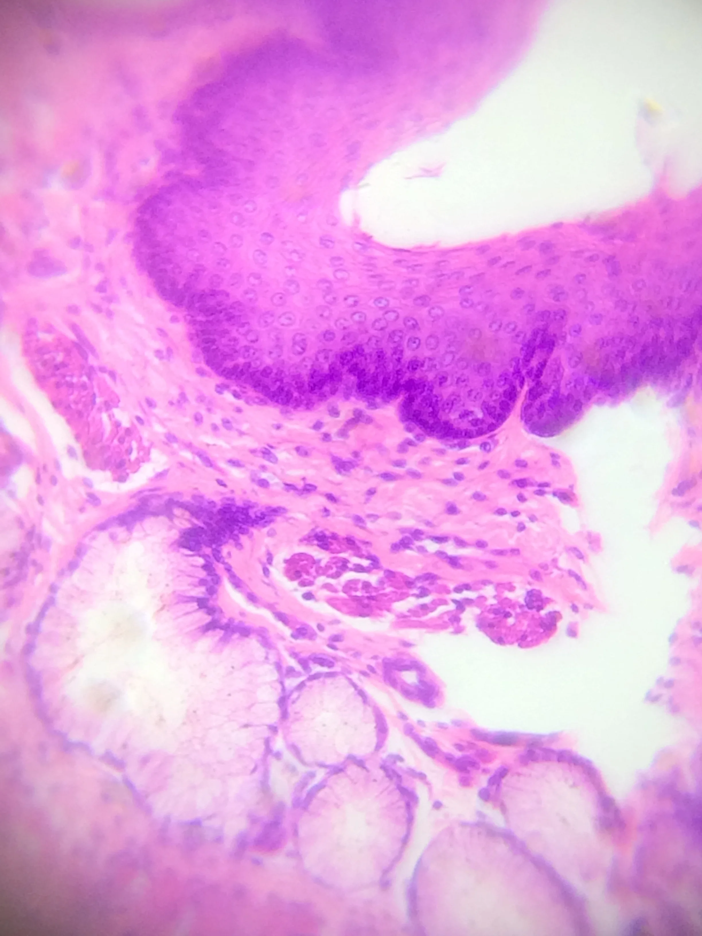
Prepared human blood slide
Prepared Esophagus Tissue Slide
Unfortunately I never got the half-ball lenses to work, but when I could clearly see that single red blood cell in the middle and see all the intricate little structures in the tissue slide, my jaw dropped. It was amazing to be able to see something so small using your smartphone and a simple mounted lens. Now I started CADing out a more refined model. Luckily I had already learned how to CAD from an earlier project.
Microscope Museum
The second one was the next one with a simple sliding stage, it gave me an adjustable stage height so that way it was a lot easier to get the focus right. The third one was printed using an FDM Makerbot 3D printer and I was experimenting with having multiple lens including a a laser focusing lens to provide low-power magnification. Because in real world usage, you need a low-power lens to quickly scan an area until you find something of interest and then zoom-in with the high-power lenses. But it was really bulky and weird looking though, so the fourth final prototype was when I took the elements from the third design and completely reimagined it (as you can tell). And it was actually when I was looking at the CAD model on my computer that I realized.... this looks super cool! I'm good at design! (Or at least that's how I felt) And people might actually buy this! So I went and dropped $250 on a high quality polyjet 3D printed prototype, figured I needed it for the gift anyways if it didn't quite work out. (Re-gifting shame) But what I didn't expect were the images I got out of this final prototype:
My jaw dropped even further. The images were amazingly crisp and clear.
Also at the same time, I've been an avid Kickstarter lurker. I loved checking out all the weird and innovative ideas people were coming up with. And I noticed a pattern, people could not get enough smartphone microscopes. There were multiple projects at have been coming out and they all reached $100k in funding. And what I realized was that my microscope could do things no one else's could, it worked like a regular microscope with multiple levels of magnification, adjustable stage, and you could easily position+re-position the slide you're looking at.
Now what was interesting is that up until that point, this project was actually in competition with another project that I was working on. I had decided against going to medical school even though I had been accepted into a couple, because I felt that I could do more for people as a builder and creator than as a doctor, and I needed to prove to myself that I wasn't wrong. The other project was a machine learning based recommendation system to help pair foster kids with the ideal foster/adoptive parents. I already did the neural network for breast cancer classification and took a fairly comprehensive course in machine learning, so I understood the technical details. And I figured if we had Match.com for love, why don't we try to improve the foster care system. But after spending some time calling multiple foster agencies, I found out that they just didn't collect that data. So with that kind of dead in the water and the crazy result I got with the microscope along with apparent demand, I made the executive decision to move forward to running a Kickstarter to build this for the world.
The Business of Running a Business: incorporation, government filings, bank accounts, insurance, accounting/bookkeeping, and intellectual property
Now I had to setup all the legal and financial aspects of the business. First I started with setting up the LLC, because it protects your personal assets as long as you don't something deliberately bad and have the 'corporate veil' pierced. Also since it's a single member LLC it functions as a simple pass through tax entity, which makes taxes easier. Overall, you'll need to file paperwork with the state and the city regarding this newly formed company, and look for any permits/more paperwork that need to be filed in particular for the business. In addition, you'll need to get an EIN from the state which is a tax ID for the company and is required if you're opening a business bank account. Then it was getting the business insurance, mainly for general liability and product liability. Make sure to read the fine print on that insurance, understand what's covered, and clarify what vague things can mean like what constitutes an 'event.' Otherwise you'll end up on the hook for a lot of money and been dumping money into a useless feel good insurance. Also something I should have been doing from the get go was using some accounting software like quickbooks. It's not really that bad, you mainly just classify the income and expenses under various categories. And a good way to get started is look at what categories the IRS need when you're filling your taxes. Income will include (sales, selling equipment/assets, etc), Current value of inventory, Cost of goods from inventory (cost of purchases, labor costs, materials and supplies, and other costs to prepare for sales), Expenses (advertising, business travel, commissions, communication, contract labor, insurance payments, interest payments, legal and professional fees, meal and entertainment, office expenses, rental expenses, repairs and maintenance, supplies, taxes and licenses, utilities, other miscellaneous expenses), Equipment expenses are counted differently, Mileage expense on a personal vehicle, and Home office expenses. Those are the main areas until you have employees, which comes with it's own bag of worms. Also since cloud accounting is popular, keep in mind you can be required to keep your business books for up to 5-10 years, so make sure you have a way to export a spreadsheet backup unless you want to keep paying the subscription for years or risk having to dig all the information back up. And if you work with an accountant, you are technically still liable for whatever your accountant writes down. Sure if they pulled some really sneaky stuff, it'll be the accountant on the hook. But if they're giving you something beyond what you can reasonably expect, you've been warned. There we go all that fun stuff.
BUT WAIT! There's more fun stuff! Patents....
Provisional Patent Figures
Provisional Patent Specification
So unfortunately around that time there were a lot of high-profile cases of patent trolls targeting specifically smaller businesses that don't have the resources to defend a lawsuit thereby forcing a settlement. This along with the America Invents Act which changed the patent system to first to file got me worrying about needing to setup a patent for my microscope. Mainly if the microscope saw some level of success without a patent, a troll could patent out the design, and then sue me for patent infringement, even though I was the actual inventor. Open source is nice, but in a first to file system, the only sure-fire way to make it open source is to patent it and then give it away. Software/photos/music/etc are different, those fall under copyright and are automatically protected once it becomes public. That's why software can attach a little MIT or whatever license to it making it open source. Therefore I had to write a provisional patent for the microscope, and I figured spending the time to learn it won't be a waste regardless.
Luckily, the filling fee for a micro-entity is cheap like $100, but that's not where it gets expensive. It's A lot of work to write patent! Step one read this 650 page book on how to write a patent (http://a.co/gnhAKHJ). Honestly this part was pretty interesting. I never knew how the patent system worked, but now I have a general understanding. The main intellectual property types are utility patents, design patents, copyright, trademark, and trade secret. Utility patent is the one relevant for this microscope, and the patentability of a invention is determined by whether it's a patentable subject matter meaning the patent office covers it, novel so it's new, useful is some way, and non-obvious. Non-obvious is where it gets really difficult to determine, since it's basically asking could the average person in the industry have figured this out? If you're invention fails one of these requirements, it's not patentable and you've wasted a lot of time/money. For this microscope, I felt I had met all the criteria, since it falls under the patent office, useful, and involves very novel functional design elements that I haven't seen elsewhere so novel enough to be non-obvious which isn't the best but eh we'll give it a shot :)
Now step two, writing the patent. As you can see........... there's a lot of work. Basically the idea behind it is that you need to document not only how the invention works but how to 'produce' it as well. And this is an important point, because if someone finds a better way of producing the invention and you don't mention that possibility in the patent, they can patent that.
Overall, the whole idea of documenting all this information in a patent is to make it all public, but the inventor gets a limited-time monopoly on that invention which incentives them to share it. The patent also makes it easier to commercialize, because they don't need to worry about keeping it a secret. At the same time, once the patent expires, everyone else has all the information necessary to benefit from the invention.
Now a patent serves you as a company asset, and as an offensive tool rather than a defensive one. A patent gives you the ability to sue someone else for infringing on your patent. But if LargeCorporationX uses your invention, will you win if you're a garage inventor? Maybe and probably not. Even if you gave a lawyer a huge portion of the lawsuit earnings, the good ones actually capable of going toe to toe still might not take the job, because it can take so long that it's not worth it in the end. Unless this invention is absolutely game-changing and worth tons of money $$$$$$$$.
In addition, an offensive tool can act like a defensive one in the sense that it's a deterrent. Unfortunately, the same problems above apply here. Sure, a troll can't patent it out from underneath me, and then sue me, but they might just file a completely frivolous lawsuit and just like before bet on my inability to defend the lawsuit and settle. Although with a sound patent, you might go the distance or some other company might buy out the patent and protect you from the lawsuit to prevent it from falling into trolly hands like here. So it can function as a deterrent.
Either way, you're probably looking at a few weeks of work minimum or the average $15,000 fee for a patent. I choose the former.
(Legal Note: I'm not a lawyer or account, just sharing what I found out :)
And there you have it, after reading, researching, analyzing, calculating, drawing, reasoning, deciding, etc, the basic legal and financial aspects are finished. And of course there's ongoing maintenance like keeping up on changing laws, filing taxes, and whatever else needs to be done.
Marketing: How to make something good not look like crap
Some people may use marketing to try to make a crap product look good, but it won't lead to success. There might be a lot of people who buy the product initially, but if people don't like it, don't recommend it, stops using it, no one sees it, and they forget about it, you won't that get viral growth. Instead, you'll constantly be trying to push a product into the market rather than it being pulled into the market.
For this microscope, I experienced amazement and fascination by what I could see, but at that point the only thing I've looked at are static prepared microscope slides. I knew if I ran a Kickstarter with just that, it would only show a fraction of what it could do. I really needed stunning visuals that really captured everything you could do and see with this microscope.
So I hopped out to Home Depot, got a bucket, and some rope. Then I drilled some holes into the bucket and ran the rope through it, so that I could go to the pier in Pacifica to collect some sea water samples. (Side note: While I was at Home Depot, someone saw me with the bucket and rope and mentioned how he used to use that to collect sea water to look at under the microscope!) And this is what I caught:
Then I wanted to show off what happens when there's a combination of a microscope, camera, and software. So I wanted to take multiple pictures and have then stitched together to make a 'gigapixel' image. Most of the image-stitching apps just did panoramics, but I eventually found an app that let you stitch images together in any orientation. Amazingly enough the distortion on the edge of the image from the ball lenses didn't impact performance too much.
Finally to get a time-lapse, I bought an onion, peeled off a thin membrane layer, and stained it with some HE (hematoxylin and eosin) stain I got. Then I added some salt to the slide, letting it dissolve and wick under the cover slip onto the onion tissue while recording.
At the end of the day, anything you say is a promise that you'll deliver said thing. So if you want to say it, you better make sure you're right. If you overpromise and underdeliver, a good product can still look like crap. And since this is a smartphone/tablet microscope, I need to figure out the magnification, resolution, compatibility, and an estimated bill of materials to figure out the price.
Oh yeah, and don't forget those sexy product photos. And also those photos showing it working with various smartphones. Oh and if you're saying it works with pretty much any smartphone and tablet, it needs to be validated. Imagine if you shipped it all around the world, and it turns out X-brand phone doesn't work for some reason. So I went to a local Fry's and tried it out on a bunch of smartphones and tablets, which is where I learned that some of them don't have auto-focus+auto-exposure and then made it a requirement in the copy.
And this is the condensed version, there are countless photos that didn't look enough good, video/audio takes that didn't have the right lighting/emotion/body language, and written copy that needed to be clarified/condensed/additions.
Although now I know that marketing involves a lot more than driving demand for your product, it's also a lot about figuring out who is your market for this product. The same product can look like crap to one person while it may look like an authentic Mona Lisa for $100 to another. And at the end of the day, it's really hard to build something that's appealing to everyone in terms of price, quality, and features in a market generally filled with competitors of some kind. So in order to be successful, you need to focus on building your product around some target segment. Marketing happens before developing the product.
And then once you understand that segment, you need to figure out how to develop some marketing plan/apparatus to get people in the door And to get them to share it in some way shape or form. This was definitely where I was slacking, because what I had to deal with next was.....
Manufacturing: There be Dragons
I made this one really long explanation, because one Squarespace doesn't let me place folders within folders, but two because I wanted to demonstrate how much work goes into delivering a product. It is tiring to even read. But looking back, it was a defining moment of my life and something I'll never forget.
Wrap Up
It was a little too difficult to use it would've been better with a magnetic clip design. Also it was difficult to find cool stuff to look at. I couldn't produce them at a low enough cost or automate steps such as the QC step.
 
             
             
             
             
             
                 
                 
                 
                 
             
             
             
             
             
             
             
             
                 
                 
                 
                 
                 
                 
                 
                